What Are The Differences Between Zirconia And Porcelain Crowns?

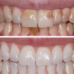
What You Should Know About Tooth Discoloration
What You Should Know About Tooth Discoloration
July 17, 2025
5 Differences Between One-Day Dental Implants and Traditional Implants
5 Differences Between One-Day Dental Implants and Traditional Implants
July 24, 2025
Same-Day Limited Time Offer

All-on-4 Dental Implants Starting at ​$11,900

(Third party financing available)

Get a new set of permanent teeth in a day

Includes IV sedation, bone grafting, all extractions and implants
Appointment Call Us