
Does Invisalign Hurt More Than Braces?
Patients often wonder if Invisalign hurts more than braces. Both treatments cause discomfort as they
Email: [email protected]

Patients often wonder if Invisalign hurts more than braces. Both treatments cause discomfort as they

People always search for ways to have better sleep. So, if you are concerned about

Having a dental filling is a common procedure to restore your tooth health. But if

It’s natural to want to know how urgent it is to fill a cavity. Life

A flipper partial denture is a simple, affordable solution to restore missing teeth. Many people

Along with your root canal or crown procedure, we may recommend a post and core.

Dental cavities are really common oral health issues. Cavities (caries or tooth decay) develop when

CEREC crowns are dental crowns created and fitted in just one visit using advanced digital

The All-on-4 denture implant procedure is a revolutionary dental solution if you need full-arch restoration.

Finishing Invisalign is exciting, but the work doesn’t stop there. What’s next? Well, you will

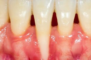
Gum recession happens when your gum tissue pulls away from your teeth and exposes the

A healthy smile can boost confidence and overall well-being, but discolored, crooked, or missing teeth

The All-on-4 dental implant procedure is a life-changing solution for missing teeth. This permanent and

Cavities, one of the most common dental problems, form when plaque builds up on your

Dental bonding is a popular option for improving the appearance of your teeth. Whether you